主页 > 新闻中心 >
长沙牙齿矫正周权案例:严重骨性反合正畸治疗
长沙牙齿矫正明星医师周权:美国隐适美认证讲师(湖南隐适美讲师只有两位),湖南地区隐适美案例数第一,湖南经视特约口腔专家,湖南健康管理学会专业委员会,全国口腔正畸、种植牙培训讲师,获得国家正畸专利五项,参编正畸专著多本,至今已完成数千例正畸病例。
顾客详情:22岁美女,严重骨性反合,曾在多家医院检查咨询,坚决拒绝手术治疗!经二次沟通后,釆取正畸掩饰治疗!从2011年3月23日初诊,到2013年5月23日结束主动治疗,总疗程26个月!
选择矫正工具:活动翼矫正器!
先看看术前术后的对比

正面发现鼻旁明显丰满起来!




侧面照片能够看到,经过正畸治疗协调上下切牙位置后,鼻-唇-颏协调了很多!

正面咬合

侧面咬合

侧面咬合



侧位片能发现上下切牙并没有出现大的代偿!

正畸掩饰治疗拔了37、46!
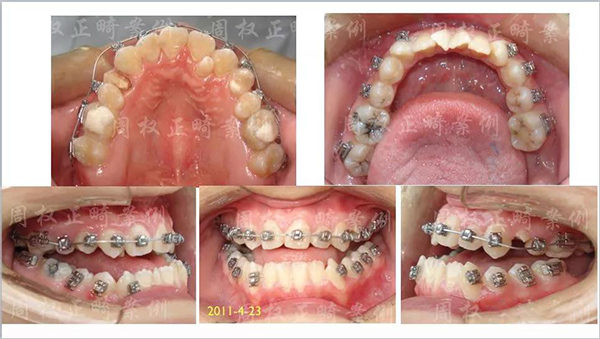
具体的看治疗过程:




第一次初诊时的资料

粘矫治器

矫正初期下前牙不粘矫治器是重点




矫正后尖牙磨牙咬合关系建立了一类咬合!
下颌第三磨牙咬合有所欠缺!
牙齿问题一一一预防大于治疗! ! !
科普小讲堂:
1、严重的骨骼异常,通过单纯的正畸治疗仍存在一定的欠缺!正畸只是改变了牙齿的位置,没有改变骨骼的形态。所以掩饰性正畸治疗存在一定的局限性!
2、对于骨骼异常的情况,一定要尽早釆取干预治疗,给予颌骨一个正常生长发育的环境!
3、第三磨牙的利用,需要有一定的技术技巧和比较长的治疗时间!















